Магнитно резонансная томография (МРТ) головного мозга является самым распространенным методом исследования головы. МРТ, как метод диагностики, занимает первое место среди других диагностических методов исследования различных патологий головы.
При использовании аппаратов с высокой напряженностью магнитного поля (от 1 тесла) для обследования головного мозга кости черепа не оказывают экранирующее влияние на качество изображения и оно получается очень четким и точным.

Обследование кровеносных сосудов мозга как с контрастом, так без него создает трехмерную модель высокой четкости, на которой видны различные нарушения сосудов.
Показания для проведения МРТ головного мозга
Магнитно резонансная томография является очень эффективной диагностикой для выявления различных заболеваний головного мозга, связанных с травмой, воспалением, различными нарушениями работы центральной нервной системы, гипофиза или сосудистой патологией.
Особенно часто сделать МРТ головного мозга рекомендуют в следующих случаях:
- Диагностика опухолевых процессов и онкологии. Магниторезонансная томография очень хорошо диагностирует возможные опухолевые процессы в мозге как онкологические , так и доброкачественные.
- Определение конкретного места кровоизлияния мозга, области инсульта или очага возбуждения.
- Определение особо опасных причин головной боли: опухолей, очаговых образований, воспалительных процессов в мозге, нарушения кровообращения мозга, травматические повреждения, дегенеративные процессы и многое другое.
- Диагностика рассеянного склероза. При данном заболевании МРТ позволяет оценить распространенность и динамику процесса.
- Атрофия коры головного мозга, дифференциация и снижение плотности серого и белого вещества различного генеза может быть оценена только при проведении МРТ диагностики. Определение этих показателей позволяют еще на ранних стадиях диагностировать такие опасные заболевания как болезнь Паркинсона и Альцгеймера.
При исследовании головы методом МРТ можно оценить также состояние и патологические изменения костей и мягких тканей лица, глаза, полостей носа, рта и глотки.
Как правильно сделать МРТ головного мозга?
Ваш лечащий врач должен сначала определить что необходимо диагностировать: сосуды мозга или сам головной мозг? С контрастом или без контраста.
Если требуется осуществить диагностику сосудов и кровотока в них – тогда необходимо выполнить МРТ ангиографию сосудов. Подробнее об ангиографии….
Наше современное оборудование позволяет сделать мрт головного мозга в следующих возможных вариантах с использованием контраста или без контраста:
- МРТ головного мозга обзорная.
- МРТ гипофиза.
- МРТ головного мозга и обследование гипофиза.
- МРТ орбит.
- МРТ головного мозга и обследование орбит.
Цены на МРТ головного мозга Просмотреть визуализацию...
МРТ мозга осуществляется для того чтобы исключить наиболее опасные патологии: опухоли, очаговые образования, нарушения состояния ликворной системы, воспалительные процессы в мозге. Метод позволяет выявить и детально оценить не только имеющиеся патологии и травматические повреждения головного мозга, а также многие нарушения мозгового кровообращения.
Использование специальных программы дает возможность детального исследования гипофиза и орбит.
Гипофиз – это небольшая железа, расположенная в углублении основной кости (в так называемой ямке турецкого седла). Гипофиз вырабатывает ряд гормонов. Передняя его доля в частности вырабатывает гормон роста.
Основные показаниями для проведения МРТ исследования гипофиза следующие:
- постоянные головные боли неясного происхождения;
- различные нарушения зрения: значительное падение остроты зрения, нарушения глазной моторики;
- увеличенное внутриглазное давление;
- эндокринные нарушения.
МРТ гипофиза – самый информативный метод диагностики опухолевых образований в области турецкого седла и позволяет определить не только факт наличия опухоли, то также оценить ее расположение.
Пациент
Женщина, 38 лет. Жалобы на резкое снижение зрения.
Данные визуализации
При мрт обследовании (1,5 Тл) в области турецкого седла обнаружена большая опухоль с кровоизлиянием ( аденома гипофиза.)
Прохождение МРТ обследования
- Перед обследованием наденьте удобную одежду без металлических фрагментов и захватите с собой сменную обувь. Украшения и бижутерию лучше оставить дома.
- Перед исследованием не рекомендуется пользоваться косметикой.
- В нашем центре Вам будет предоставлена индивидуальная раздевалка для временного хранения личных вещей.
- Во время исследования Вы будете постоянно находиться под наблюдением медицинского персонала. Исследование может занять от 10 минут до часа в зависимости от объема и сложности исследования.
- В большинстве случаев вы сможете получить результаты (снимки и заключение) в течение 2 часов после окончания исследования, за исключением сложных исследований и случаев, требующих консилиума.
Просмотреть цены на МРТ головного мозга
Хотите узнать больше по мрт диагностика, мрт головного мозга? Для поиска материалов в модуле поиска или на карте сайта используйте термины: мрт диагностика, мрт ангиография сосудов мозга, мрт головного мозга, мрт диагностика фото, сделать мрт головного мозга, москва,черкизовская, подбельского, центр, преображенская, сокольники, красносельская, сокольники, болородское, измайлово, свиблово, ростокино, гольяново.
Некоторые клинические случаи при проведении МРТ мозга
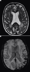
Клинический случай 1: амилоидная ангиопатия Пациент:
83-летний мужчина, направлен на МРТ из специализированной клиники для лечения памяти по поводу дифференциальной диагностики лобно-височной деменции и болезни Альцгеймера с поражением лобной доли.
Увеличить
Данные визуализации На изображении выявлено окрашивание гемосидерином по поверхности коры лобной и теменной долей, соответствующее диагнозу субарахноидального кровоизлияния в анамнезе, скорее всего, осложнившего течение амилоидной ангиопатии. Микрокровоизлияния в артериолы серого вещества могут привести к развитию сосудистой деменции, связанной с амилоидной ангиопатией.
Клинический случай 2: кровоизлияние в мозг
Пациент:
33-летний мужчина с артериовенозной мальформацией (АВМ) сосудов головного мозга, направлен в отделение неотложной помощи по поводу продолжавшихся 5 минут двигательных нарушений в правой руке. Для исключения кровоизлияния в мозг проведена МРТ.
Увеличить
Данные визуализации
В пределах левой верхней теменной дольки выявлено скопление серпигинозных участков снижения кровотока, сходных с выявленными у пациента при предыдущих исследованиях. Было заподозрено острое кровоизлияние. МРТ обследованием выявлено формирование области сигнала сниженной интенсивности, локализованной в центре сосудистой мальформации в левой теменной доле, размером 2,0 ? 1,5 ? 3,0 см.
Клинический случай 3: травматическое кровоизлияние
Пациент:
48-летняя женщина направлена в отделение неотложной помощи по поводу рвоты и головной боли; ранее пациентка выписалась после выявления у нее тромбоза вен коркового вещества.

Пациент:
Данные визуализации
При мрт обследовании выявлено несколько двусторонних очагов сниженной интенсивности сигнала в пределах борозд лобной доли и ряд поражений вне вещества мозга. При дополнительном расспросе выяснено, что пациентка недавно перенесла черепно-мозговую травму; наиболее вероятной причиной выявленных изменений были участки кровоизлияния вне вещества мозга и мелкие контузии коркового вещества.




