УЗИ диагностика – это ультразвуковое исследование, также называемое сканированием или эхографией, при котором на отдельные части тела направляются высокочастотные звуковые волны, чтобы получить визуализацию внутренних органов, сосудов, протекания крови и т.д. УЗИ диагностика не использует радиацию (как в рентгене) или какое-либо другое вредное для организма излучение и отображает состояние органов в реальном времени.
Несмотря на то что эти высокочастотные волны по существу являются обыкновенным звуком, ухо человека их не слышит, так как диапазон частот данных волн, в зависимости от вида исследования, лежит от 2,5 до 15 мега герц.
УЗИ диагностика позволяет показать структуру и движение внутренних органов тела, а также кровь, текущую через кровеносные сосуды, оценить скорость ее протекания.
УЗИ диагностика - это абсолютно атравматичное медицинское обследование, которое помогает врачам правильно диагностировать и лечить заболевания.
Первоначально ультразвуковое исследование показывало изображения в тонких, плоских проекциях тела. Современные аппараты УЗИ делают изображение органов в 3-х мерном изображении, а четырехмерный 4D УЗИ – это 3D УЗИ в движении или во времени.Подробнее о УЗИ 3Д
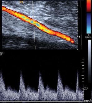
Допплер (Doppler) исследование может быть составной частью УЗИ диагностики сосудов или органов, в которых имеется кровоток. Допплер УЗИ – специальная техника ультразвукового исследования, которая оценивает кровоток через кровеносный сосуд, включая главные артерии тела и вены в брюшной полости, руках, ногах и шее. Допплер УЗИ может быть импульсным, цветным, тканевым, энергетическим. Но как бы он ни назывался – остается неизменным только одно: оценка кровотока через органы или сосуды.
Движение клеток крови вызывает изменение в отражении звуковых волн (Доплер-эффект). Компьютер собирает, обрабатывает эхо звуковых волн и создает реальную картину кровотока в сосудах или органах: измеряет скорость крови, записывает звуки, создает графики или цветные картинки.
При выполнении УЗИ с Допплер исследованием Вы можете фактически услышать звуки, подобные пульсу, поскольку проверяется и измеряется кровоток.
Допплер технологии помогают врачу увидеть и оценить не только скорость кровотока, но и:
- блокировки кровотока (сгустки),
- сужение сосудов (которое может быть вызвано бляшками),
- опухоли или врожденные сосудистые пороки.
При выполнении УЗИ с Допплер исследованием Вы можете фактически услышать звуки, подобные пульсу, поскольку проверяется и измеряется кровоток.
Допплер технологии помогают врачу увидеть и оценить не только скорость кровотока, но и:
УЗИ диагностика незаменима при исследовании следующих внутренних органов:
- сердечные и кровеносные сосуды, включая брюшную аорту и ее главные отделения
- сердце (Эхокардиография)
- печень
- желчный пузырь
- поджелудочная железа
- почки
- мочевой пузырь
- матка, яичники, а также будущий ребенок (плод) у беременных пациенток
- селезенка
- глаза
- щитовидная железа и железы паращитовидной железы
- мошонка (яички)
- мозг и бедра младенцев
УЗИ диагностика позволяет диагностировать множество заболеваний, а также оценить состояние органов после болезни или операции, правильно интерпретировать следующие симптомы:
- боль
- набухание
- инфекция
- гематурия (кровь в моче)

Полные технические характериатики нашего оборудования
Что позволяет нам предоставлять пациентам качественные заключения?
- Цифровая обработка изображения;
- Цветовое доплеровское картирование для исследования сосудов;
- Использование мультичастотных датчиков с высокой разрешающей способностью.
Хотите узнать больше по УЗИ? Для поиска материалов в модуле поиска или на карте сайта используйте термины: узи диагностика, узи печени, узи отзывы, узи фото, москва, мытищи, долгопрудный, химки, бибирево,тимирязевская, отрадное, алтуфьево
УЗИ-диагностика: проведение обследования
Преимущества УЗИ
-
Узи диагностика является атравматичным (никаких игл или инъекции), безболезненным методом исследования.
-
Ультразвук широко доступен, удобен в работе и менее дорог, чем другие методы исследования.
-
Узи диагностика дает ясную картину мягких тканей, которые не обнаруживаются на рентгеновских снимках.
-
Ультразвук - привилегированная методика обследования беременных женщин, их будущих младенцев.
-
Ультразвуковое обследование обеспечивает отображение органов в реальном времени.
Оборудование для УЗИ диагностики.
Аппарат УЗИ состоит из пульта, содержащего компьютер и электронику, видео экрана-дисплея и датчика, который используется, чтобы выполнить просмотр нужной части тела. Датчик – это маленькое переносное устройство, которое напоминает микрофон, присоединяется к пульту кабелем.

Датчик излучает неслышимые нашим ухом высокочастотные звуковые волны, затем прислушивается к эху отражаемому от различных тканей и органов нашего тела – подобно гидролокатору, используемому на лодках или субмаринах. Затем это эхо преобразуется и отображается на мониторе уже в виде исследуемого органа.
УЗИ диагностика: подготовка, прохождение обследования.
Для обследования желательно надеть удобную, просторную одежду, снять одежду и драгоценности с области, которая будет исследована.
Для некоторых видов УЗИ обследований доктор может попросить Вас не есть или пить в течение нескольких часов перед их началом. Для других видов Вас наоборот могут попросить выпить до шести стаканов воды за два часа до начала диагностики и избегать мочиться с тем чтобы, чтобы перед началом исследования мочевой пузырь был полон.
При обследовании используется изготовленный на чистой воде гель, чтобы помочь датчику установить надежный контакт с телом, устранить воздушные ямы между датчиком и кожей, которые могут заблокировать звуковые волны. Эхография Doppler выполняется, используя тот же самый датчик.
Большинство ультразвуковых обследований является безболезненными, быстрыми и легкими.
Специалист по ультразвуковой диагностике нанесет немного основанного на теплой воде геля на кожу, затем положит датчик на интересующую область, перемещая его вперед-назад, пока желаемые изображения не будут получены. Обычно нет никакого дискомфорта от таких движений, поскольку датчик лишь слегка прижимается к исследуемой области. Однако если исследование выполняется по болезненной области, Вы можете почувствовать некое давление или крайне незначительную боль от прикосновений датчика. УЗИ исследования, при которых датчик помещается внутрь тела, могут доставлять минимальный дискомфорт.
ПОДРОБНЕЕ О ПОДГОТОВКЕ К ОТДЕЛЬНЫМ ВИДАМ УЗИ.....
Каковы основные ограничения УЗИ?
- Волны ультразвука значительно ослабевают, проходя через воздух или газы: поэтому УЗИ не является идеальной техникой обследования для заполненных или затененных воздухом органов.
- Крупные пациенты являются более трудными для УЗИ исследований, потому что большее количество ткани, находящейся перед обследуемым органом уменьшает (ослабляет) звуковые волны.
- Ультразвук трудно проникает через кости, и поэтому может только видеть наружную поверхность костистых структур, а не то, что находится внутри их (кроме младенцев). Для того, чтобы визуализировать внутреннюю структуру костей или суставов, как правило, используются другие способы обследования, например МРТ.






